
Facetas de resina em dentes tortos: pode colocar? Compensa?
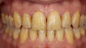
Ter dentes tortos incomoda muita gente, principalmente quando isso aparece bem na frente do seu sorriso. É normal a pessoa

Ter dentes tortos incomoda muita gente, principalmente quando isso aparece bem na frente do seu sorriso. É normal a pessoa

Colocar facetas de resina muda o sorriso, mas também traz uma dúvida muito comum: “vou poder comer normalmente depois que

Se o seu objetivo é ter um sorriso bonito e saudável, escolher um dentista especializado em estética dental faz toda

A faceta de resina é uma capinha fina que o dentista aplica na frente do dente para melhorar cor, formato

Manter os dentes limpos vai muito além da escovação diária. A limpeza dental, também chamada de profilaxia odontológica, é um

O aparelho dentário é um dos tratamentos ortodônticos mais conhecidos e eficazes quando o assunto é alinhar os dentes e

Um sorriso branco e saudável é o sonho de muita gente, e o clareamento dental é o caminho mais rápido

Você já reparou que, mesmo escovando os dentes todos os dias, eles podem ficar mais escuros com o tempo? Isso

Colocar facetas de resina é um dos procedimentos mais procurados por quem deseja melhorar o sorriso. Porém, em alguns casos,

Se você está pensando em melhorar o sorriso e ouviu falar sobre a faceta de resina, é completamente normal ter
Tratamentos
Dr. Lucas Mota

Atuo com foco em ortodontia estética, facetas de resina e tratamentos que elevam a autoestima e a qualidade de vida dos meus pacientes.
Mais autoestima, mais confiança e mais qualidade de vida.
REDES SOCIAIS
TODOS OS DIREITOS RESERVADOS 2025 | FEITO PELO CONSULTOR SEO ELVIS ALENCAR
Atendimento particular (sem convênios)
Sem convênios, com atendimento personalizado e agenda ágil para atender você melhor.